CATセンター(シーエーティーセンター)は、肌質診断および肌質改善の研究所です。
お客さまの実体験データや肌質研究による実績をもとに、肌質改善の方法をご提案させていただきます。

ホーム|サイトマップ|プライバシポリシー|会社概要|

ニキビやシミ・そばかす、敏感肌など‥‥お肌のお悩みって、いろいろありますよね。
ここでは、お肌のトラブルの種類の説明とCATセンターの改善例をご紹介します。

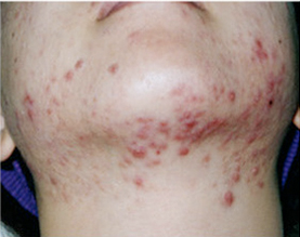
CATセンターのアドバイスで正しいスキンケアを続けた結果、
ニキビにお悩みのあったお客様の肌がこんなに改善しました。
ニキビは皮脂分泌の異常であり皮膚疾患の1つでもあります。その学術的な名称を尋常性ざ瘡といいます。毛穴の出口が詰まり、皮脂が毛包内に溜まり毛包が拡大して袋状になります。もともと毛包の奥には細菌が住んでいて、その細菌が皮脂を栄養源として繁殖し、炎症を起こします。
遺伝的素因・内的要因の他に外的要因にも影響されます。
毛穴を直接的に塞ぐ事、皮膚表面を脂性に傾きやすくする事、細菌感染が起こりやすい状態にする事、炎症を促進するような刺激などで起こります。
ホルモンバランスの崩れ
肌質とともに、ニキビの発現に大きな影響を及ぼしているのがホルモンです。男性ホルモン・女性ホルモン・黄体ホルモンなどの性ホルモンや副腎皮質ホルモン・脳下垂体ホルモンなど様々なホルモンが関わっています。

内蔵の悪化
栄養摂取・貯蔵と老廃物の対外排出に関わっている、胃腸及び肝臓が変調をきたすと、皮膚組織ばかりではなく、身体組織全体に栄養定低下を招きます。ひいては内分泌系にも異常が及び、ニキビの直接的・間接的な原因となり得ます。

不清潔
ニキビの予防は常に肌を清潔に保つことが基本です。洗顔不足は発生要因の1つです。完全に洗い流したつもりでも、洗顔の選び方を間違えると皮溝や毛穴に汚れが残っている場合が多くなります。

食生活の乱れ
ニキビは食生活とも深い関係があります。大きなポイントはビタミン(ビタミンA・B群・ビタミンE・C)の欠乏と、脂肪、糖分の摂り過ぎです。これらがニキビの誘因ですが、大切なのはバランスのとれた、規則正しい食生活を送るということで、身体の健康は即ち健康な皮膚へと繋がるからです。

ストレス
現代社会で生きていくうえで避けることができないストレスもニキビと関わっています。過度の緊張、疲労、不眠などが続くと自律神経が変調をきたします。緊張をつかさどる交感神経とリラックス状態をつかさどる副交感神経のバランスが崩れると、皮脂の分泌が盛んになり、ニキビができやすい状態となります。
ニキビの一般的な原因はストレスや食生活の乱れ・運動不足・便秘・ 喫煙・睡眠不足(又は良質の睡眠が取れていない)・ホルモンの バランスの乱れから肌の水分低下や、角質層のバリア機能低下に よるものです。また現代女性を囲む現状は、ストレスだらけ、 仕事に家事・育児などのストレスは肌にすぐ現れます。 過度のストレスがかかると、男性ホルモンが増え、 過剰な皮脂分泌を促しニキビへとつながります。
お肌のトラブルに関するお悩みはぜひCATセンターにお気軽にご相談ください!!
白ニキビ
初期では、やや白く見える硬い小丘疹です。指先で押すと白っぽい粘調性のある皮脂が出てきます。このような状態で、毛穴が閉じている面皰が白ニキビです。 
黒ニキビ
毛包内に貯留している皮脂が毛口を押し広げることによって、毛口が開放されて、空気中の汚れの付着や皮脂の酸化がみられるようになると、毛口の部分が黒っぽくなります。これが黒ニキビです。

赤ニキビ
炎症を起こすと、面皰はやがて紅色丘疹になります。炎症をお越し、触れると痛みを感じるものが赤ニキビです。
黄ニキビ
丘疹部分が化膿すると膿疱(黄ニキビ)ができます。これは、炎症ニキビが悪化し、細菌が増殖して膿をもった状態です。真皮、皮下組織にまで炎症がおこると、皮膚の真皮の広い範囲が壊死します。

HOME|初めてご来店される方へ|CATセンターではこんなことをします|料金・システム|商品のご紹介|スタッフのご紹介

徳島県徳島市 株式会社クリーンアートプラス CATセンター徳島研究所
Copyright (C) Clean Art Plus Corporation All right reserved